门诊时间:早上8:00—12:00,下午14:00—17:30(冬季);早上8:00—12:00,下午14:30—18:00(夏季)(节假日无休)

点击右侧按钮获取二维码

    院务公开

    “E—成像”开创超声新纪元——我院引进全球领先的超声诊断系统

    发布日期:2019-10-29

    来源:

            近日,我院新引进一台全球领先的超声诊断系统AixplorerV——E超。该仪器由法国声科影像公司(Super Sonic Imagine)研发生产,是全球唯一实时、全幅、全定量剪切波弹性成像技术,具有世界领先的最新型的超声成像技术一即“E超”,能够完成传统超声(B超)不能实现的组织定征分析,得到组织的弹性模量绝对值,第一次真正实现超声弹性成像定量分析,受到临床医生的高度关注及认可。
     
     
            E-成像实时剪切波弹性成像技术具有广泛的应用范围,能够对甲状腺、肝脏、乳腺、胰腺、胆囊、淋巴结、肌肉、肌腱、血管、神经、子宫、卵巢等器官进行弹性定量分析。
            新一代E超 (SWE弹性成像)技术兼容B超,在B超基础上增加了弹性成像功能,是指南推荐的甲状腺癌无创诊断、糖尿病脂肪肝/肝硬化(NAFLD)/肝癌的一线筛查方法。 
     
            根据中华医学会《超声E成像应用指南》E成像可以通过软硬度定量分析对甲状腺结节及淋巴结进行良、恶性评估。对肝纤维化做到无活检定量分期。E-成像(SWE弹性成像)客观、准确,可重复性好,并能够提供直观的彩色编码成像,是鉴别良恶性的重要手段。
     
            E超具有实时动态、价格低廉、安全有效,无痛苦、无创伤、无辐射等多种优点,同样非常适宜于临床监测疗效和动态观察。
     
    精彩图例:
     
    ▲乳腺纤维腺瘤:E 成像显示均匀一致即均匀的较软的组织。
     
     
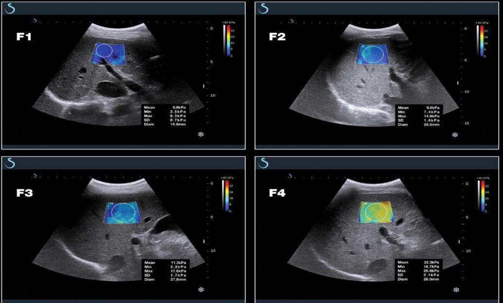
    ▲肝纤维化 F1-F4 期的 E 成像图像和测量数据:随肝纤维化程度的不断加重,E 成像 颜色由深蓝-亮蓝-绿- 黄,杨氏模量值也不断升高。
     
     
    ▲甲状腺乳头状癌:E 成像显示结节内部硬度明显增高达到 237.1kPa,且软硬不均。
     
     
    相关连接:
    什么是“E超”
     
           E超是一种全新的超声成像模式,利用极速成像技术,在二维超声(B超)、彩色多普勒(彩超)诊断系统中实现无创、定量评估组织硬度,是目前世界上最先进的新型超声诊断技术。
     

    E超可检查什么?

           E超在各个学科已有广泛应用,经过大样本多中心研究,在乳腺、甲状腺、肝脏、肾脏、前列腺、肌骨等系统已制定出临床应用指南。例如肝纤维化精确定量分期,占位性病变的鉴定别诊断和治疗评价,肌骨系统的功能性定量评估等。

    ↓ 超声E成像:人体组织硬度图谱

    关注我们

    地址:山西省运城市盐湖区红旗东街4388号 邮编:044000

    联系电话:0359-2066873 网址:www.yctdyy.com

    e-mail:ycstdyy@163.com

    晋ICP备15008538号-1

    晋公网安备 14080202000127号

    扫码挂号

    联系我们

    运城同德医院

    院办电话:0359-2066873

    招聘电话:0359-2613680

    挂号预约:0359-2613581

    医保、慢病报销: 0359-2613401

    药品咨询:0359-2613530

    体检电话:0359-2580998,15203598831