门诊时间:早上8:00—12:00,下午14:00—17:30(冬季);早上8:00—12:00,下午14:30—18:00(夏季)(节假日无休)

点击右侧按钮获取二维码

    院务公开

    【同德内分泌罕见疑难病例速递第一期】垂体柄阻断综合征3例总结

    发布日期:2019-07-10

    来源:

           2018年8月至2019年5月,同德医院确诊3例垂体柄阻断综合征,总结汇报如下:
     
    病例一:
     
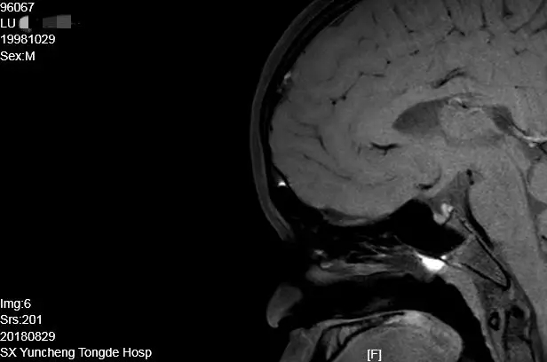
    患者芦某,住院号96067
     
           简要病史:男,19岁,在读大学生,以“生长发育缓慢16年”入院。身高144cm,智力正常,嗅觉正常,无多尿。小阴茎,睾丸容积2mL,无阴毛。
     
           辅助检查:性腺六项:FSH 2.79 mIU/mL、LH 1.57 mIU/mL、PRL 269.7 uIU/mL、E2 5.0 pg/mL、P 0.91 nmol/L、T 0.36 nmol/L。生长激素轴:IGF-1 64.537ng/mL、IGFBP-3 1.9 ug/mL。甲状腺轴:FT3 5.0 pmol/L、FT4 17.81 pmol/L、TSH 4.89 uIU/mL。肾上腺皮质轴:皮质醇(8am)604.2 nmol/L。左旋多巴联合精氨酸生长激素激发试验:0分钟0.107 ug/L、30分钟0.07 ug/L、60分钟0.49ug/L、90分钟0.22ug/L。因患方原因未完成GnRH激发试验和HCG激发试验及染色体分析。骨龄测定:13.8岁。骨密度:z值-4.9,垂体MRI:腺垂体发育正常、垂体柄显示不清、神经垂体异位到漏斗干与漏斗突结合部。
     
           病例特点:青年男性,嗅觉正常,无多尿。身材矮小,无第二性征发育,骨质疏松。性腺轴未启动,生长激素轴功能减退,肾上腺皮质轴和甲状腺轴正常。神经垂体异位,垂体柄消失。
     
           最后诊断:1.异位神经垂体垂体柄阻断综合征;2.低促性腺激素性性腺功能减退症(HH);3.垂体性矮小症。
     
           治疗方案:1.性腺轴:绒促素、尿促素序贯治疗;2.生长激素轴:重组人生长激素治疗。半年后随访,外生殖器等男性第二性征明显发育,身高增长6cm,骨密度显示骨矿化显著改善。
     
     
     
    病例二:
     
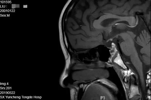
    患者刘某,住院号101595
     
            简要资料:男,18岁,大学在读,以“反复乏力、纳差、生长发育缓慢、间歇性意识障碍15年”入院。身高148cm,智力正常,嗅觉正常,无多尿。小阴茎,双侧隐睾,无阴毛。垂体MRI:腺垂体发育不良、垂体柄缺如、神经垂体异位到漏斗底部(化验室结果略)。
     
           病例特点:青年男性,嗅觉正常,无多尿。身材矮小,无第二性征发育,原发性闭经,骨质疏松。肾上腺皮质轴、甲状腺轴、性腺轴和生长激素轴功能均减退。神经垂体异位,垂体柄消失。
     
           最后诊断:1.异位神经垂体垂体柄阻断综合征;2.腺垂体功能减退症;3. 低促性腺激素性性腺功能减退症(HH);4.垂体性矮小症。
     
           治疗方案:1.肾上腺轴:氢化可的松替代;2.甲状腺轴:优甲乐替代;3.性腺轴:绒促素、尿促素序贯治疗。因经济原因未进行重组人生长激素替代治疗。
     

    病例三:
     
    患者贾某,住院号101533
     
           简要资料:女,30岁,以“纳差、矮小、、原发性闭经”入院。身高127cm,智力正常,嗅觉正常,无多尿。乳房未发育,幼稚型外生殖器。垂体MRI:腺垂体发育不良、垂体柄缺如、神经垂体异位到正中隆起位置(化验室结果略)。
     
           病例特点:青年女性,嗅觉正常,无多尿。身材矮小,无第二性征发育,骨质疏松。肾上腺皮质轴、甲状腺轴、性腺轴和生长激素轴功能均减退。神经垂体异位,垂体柄消失。
     
           最后诊断:1.异位神经垂体垂体柄阻断综合征;2.腺垂体功能减退症;3. 低促性腺激素性性腺功能减退症(HH);4.垂体性矮小症。
     
           治疗方案:1.肾上腺轴:氢化可的松替代;2.甲状腺轴:优甲乐替代;3.性腺轴:尿促素、绒促素序贯治疗;4.生长激素轴:重组人生长激素治疗。
     
    诊疗体会

           垂体柄阻断综合征属于内分泌少见病,由异位神经垂体阻断下丘脑与垂体联系的渠道垂体柄,致使下丘脑分泌的激素不能输送至正常垂体前叶(腺垂体)和垂体后叶(神经垂体),而导致的一系列临床症候群。依据神经垂体位置的不同,临床表现各异,临床上较易误诊、漏诊。
     
           病例1神经垂体位于漏斗干与漏斗突结合部,较罕见,阻断的位置低且阻断不完全,患者仅表现为性腺轴和生长激素轴功能减退,而肾上腺皮质轴、甲状腺轴及神经垂体功能均正常。病例2和病例3神经垂体阻断的位置较高,较常见,表现为全腺垂体功能障碍,即肾上腺皮质轴、甲状腺轴、性腺轴功能均减退,而神经垂体功能正常提示垂体存在侧枝循环。
     
           性腺轴未启动和生长激素轴功能减退导致的矮小症、第二性征无发育和骨质疏松症是垂体柄阻断综合征的典型临床表现。神经垂体异位的位置距离腺垂体越远,即高位阻断,越易合并肾上腺轴、甲状腺轴的功能减退。针对该病的功能试验包括GnRH激发试验、ACTH激发试验、生长激素激发试验、HCG激发试验等。最有价值的影像学检查是垂体MRI。治疗上以激素替代为主,早诊早治是关键,经过规范系统治疗绝大部分患者会出现完全第二性征发育,甚至于获得生育功能和满意终身高。

    关注我们

    地址:山西省运城市盐湖区红旗东街4388号 邮编:044000

    联系电话:0359-2066873 网址:www.yctdyy.com

    e-mail:ycstdyy@163.com

    晋ICP备15008538号-1

    晋公网安备 14080202000127号

    扫码挂号

    联系我们

    运城同德医院

    院办电话:0359-2066873

    招聘电话:0359-2613680

    挂号预约:0359-2613581

    医保、慢病报销: 0359-2613401

    药品咨询:0359-2613530

    体检电话:0359-2580998,15203598831